Busquéda

BUSQUÉDA

Since my son left our house to live in an assisted home, the distance between us has increased. Literally and figuratively. That's why I wanted to go back to the country where he was born once more. A search ~ búsqueda ~ for his roots. With a little hope that it would awaken something in him.

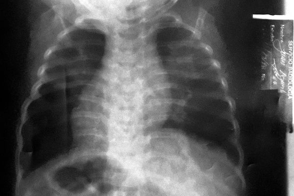
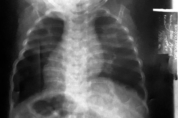
The chance that you build a bond with a place that you leave around your first birthday is small. And it doesn't get bigger if your body and mind have suffered considerable scars because you were born 14 weeks early.

I will let you travel. You will see the love that I cherish for my son. It is a journey through Colombia, it is a journey through the emotional world of a complicated, but loving mother-son relationship. Life as it is. A continuous search.