I would have been born anyway

  • Dates
    2018 - 2019
  • Author
  • Location Amsterdam, Netherlands

‘I would have been born anyway’ is a personal queeste to the history and very harmful side effects of DES, a hormone prescribed to women to prevent miscarriages. It’s my own story, it’s my moms story, my friends, and millions of other women around the world.

For more then 3 decades - from the mid 40’s till the late 70’s- millions of women world wide were prescribed the hormone DES to prevent miscarriages. Although the pharmaceutical world knew from the start DES didn’t work. At all. All the babies born out of these pregnancies would have been born anyway. The medicine did however have very bad side effects, varying from fertility problems, involuntary childlessness, a rare form of vaginal cancer for the DES daughters to a higher risk of breast cancer for DES mothers. Ongoing research suggest a higher risk of breast cancer with DES daughters and show harmful side effects for DES grandchildren.

I am one of those millions of DES daughters and my mom is one of all those moms who died of breast cancer.

The pictures I submitted are just a part of the whole project. Via this link you can see the dummy http://bit.ly/storyofDES You’ll see that the dummy consist not only of visuals but also of other ‘parts’, like a kind of leporello. Although my submission is a dummy, the series can of course be made into an exhibition.

The series is a mixture of my own private photos, visuals of hospital rooms and medical research, portraits of DES women, archival material like text, newspaper snippets and campaign ads. By mixing all this personal material with a kind of distant medical material I want to make a story that is compelling and shows my anger and my grief.

I made this series because the DES history may not be forgotten. Not only because of the DES women and the harm that has been knowingly and willingly done to them. But also because nowadays pharmaceutical industry seems to have learned nothing from this DES case - when it comes to treatments of fertility problems, menopausal treatments, the opiodecrisis - and anything in between.

© Petra Kroon - Slides of tissue, Dutch Cancer Institute
i

Slides of tissue, Dutch Cancer Institute

© Petra Kroon - Image from the I would have been born anyway photography project
i

Me when I was 17 and heard I am a DES daughter. Although I heard about the bad side effects, I was too young and cheerful to be affected by it

© Petra Kroon - Image from the I would have been born anyway photography project
i

As DES daughters and DES mothers we need to have all kind of medical check ups as soon as we find out, for the rest of our live. These are doctor coats from the Dutch cancer hospital

© Petra Kroon - Research Room, Dutch Cancer Institute
i

Research Room, Dutch Cancer Institute

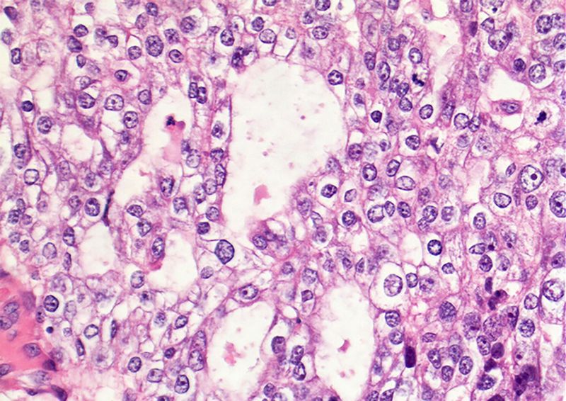
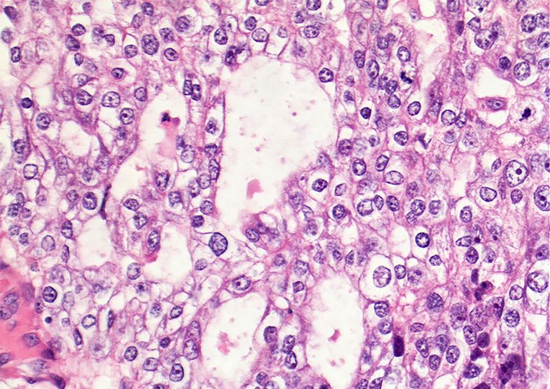
© Petra Kroon - Tissue of vaginal cancer, slide from Dutch Cancer Institute
i

Tissue of vaginal cancer, slide from Dutch Cancer Institute

© Petra Kroon - Image from the I would have been born anyway photography project
i

My dear friend Marjolein who is a DES daughter who did of vaginal cancer.She only found out she was a DES daughter in 2015. Her mom suffered from breast cancer

© Petra Kroon - Image from the I would have been born anyway photography project
i

Medical room, As DES daughters and DES mothers we need to have all kind of medical check ups as soon as we find out, for the rest of our live.

© Petra Kroon - DES mothers - and as recent research suggests also DES daughters- have a higher risk of breast cancer
i

DES mothers - and as recent research suggests also DES daughters- have a higher risk of breast cancer

© Petra Kroon - Image from the I would have been born anyway photography project
i

DES daughters suffer much more from secretion then non DES daughters do. As DES daughters and DES mothers we need to have all kind of medical check ups as soon as we find out, for the rest of our live. A speculum is a frightening symbol for this

© Petra Kroon - research room with slides, Dutch Cancer Institute
i

research room with slides, Dutch Cancer Institute

© Petra Kroon - Final goodbye - my mom and dad the day before she passed away because of breast cancer
i

Final goodbye - my mom and dad the day before she passed away because of breast cancer