Child of the River

  • Dates
    2023 - Ongoing
  • Author
  • Locations Cornwall, Falmouth, Wiltshire, Ramsbury

A coming-of-age series navigating a brain tumour diagnosis, surgery and hormonal therapy. Eden's journey through land and water seeks solace within places that have shaped her, questioning 'home', identity and truth. A ritual of hope.

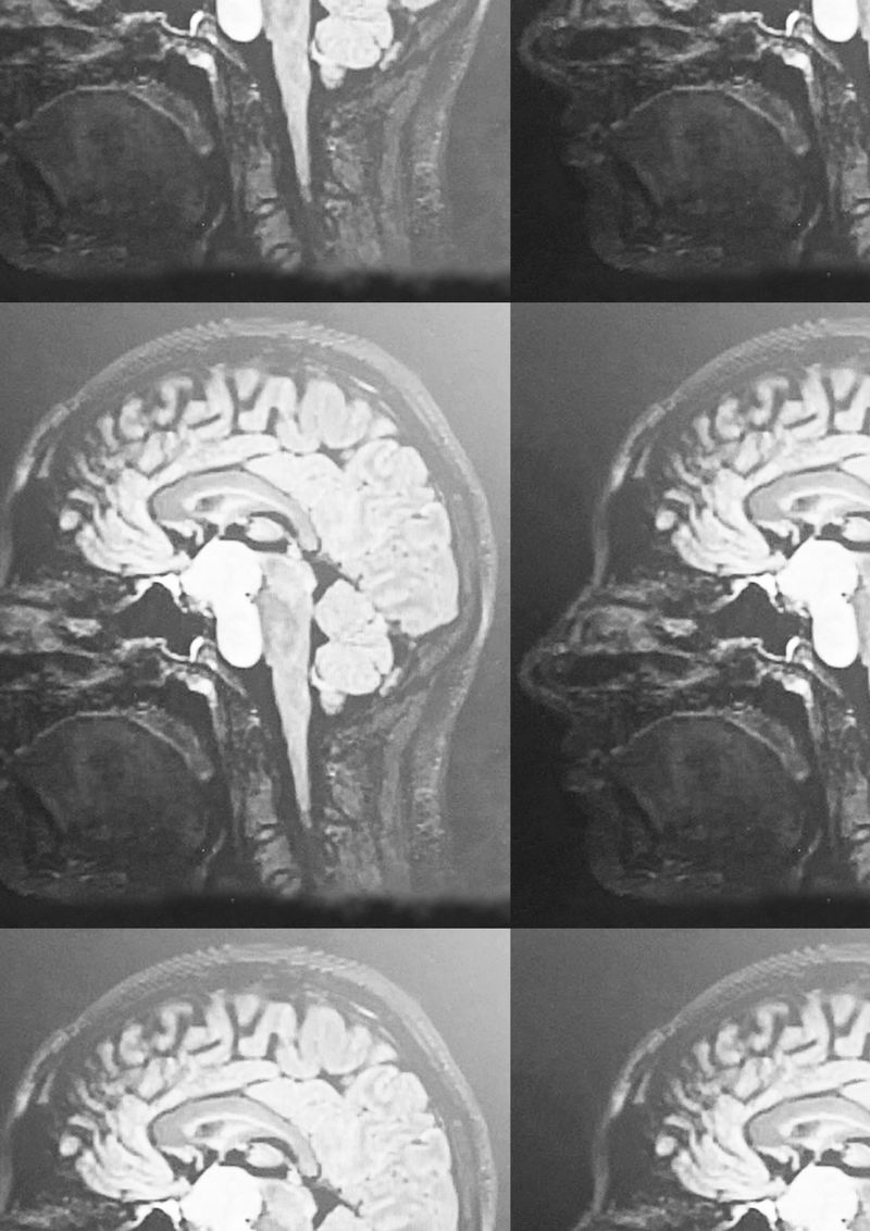
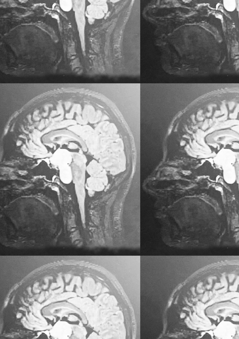
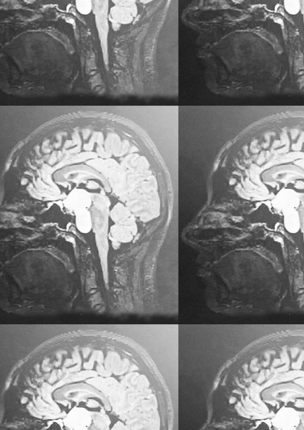
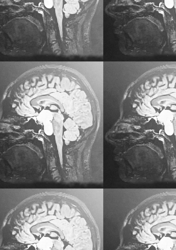
Since her early teens, Eden’s experience has been shaped by extreme hormonal challenges, compulsions, and behavioural shifts. In July 2024, an MRI revealed a large benign brain tumour in the centre of her head, assumed to have been there since childhood. Since it's size and position have made it too complex to remove, she has remained under constant monitoring and must take hormone replacement therapy for the rest of her life.

Over the past year, 'Child of the River' has formed both a personal archive and investigation, as Eden has intutively responded to her diagnosis, biopsy surgery and invasive hospital appointments with her camera. Collecting self portaits, photographic experiments and moments of escape within nature, she has begun to piece together a space of safety and wonder.

Eden's practice remains deeply material, and rooted within experimental processes that expand on what photography is and can be. From a 10 metre long concertina book sewn in her bedroom, to darkroom prints and lumen prints developed sustainably on along the riverbed, Eden forms her own meditative rituals that mirror cycles of disruption, repair and endurance.

Similarly, Eden's 'salt-dipped' prints that have been submerged and crystalised in seawater, set the rhythm and narrative of the project within something very tactile, while aiming to apply a physical permanence to the spaces she encounters.

Whether it's processing uncertainty, enduring illness, or even forming a wider understanding of our personal relationships with the natural world, 'Child of the River' invites viewers to reflect on the the transformative potential of photography and the strength needed to navigate unclear paths.