Chasing Intensities

By Liz Orton

Chasing Intensities considers the body through its relationship to contemporary medical imaging technologies.

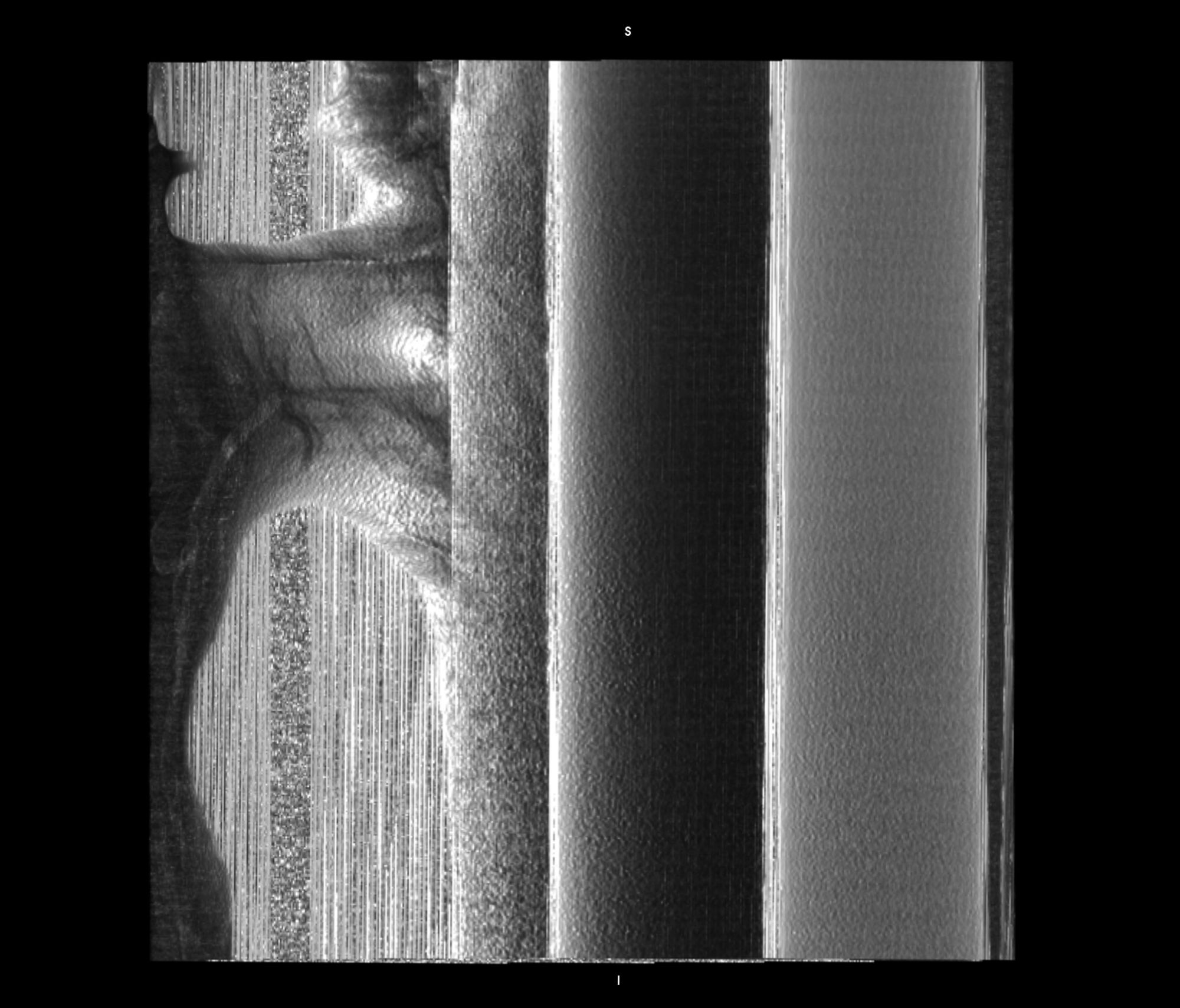
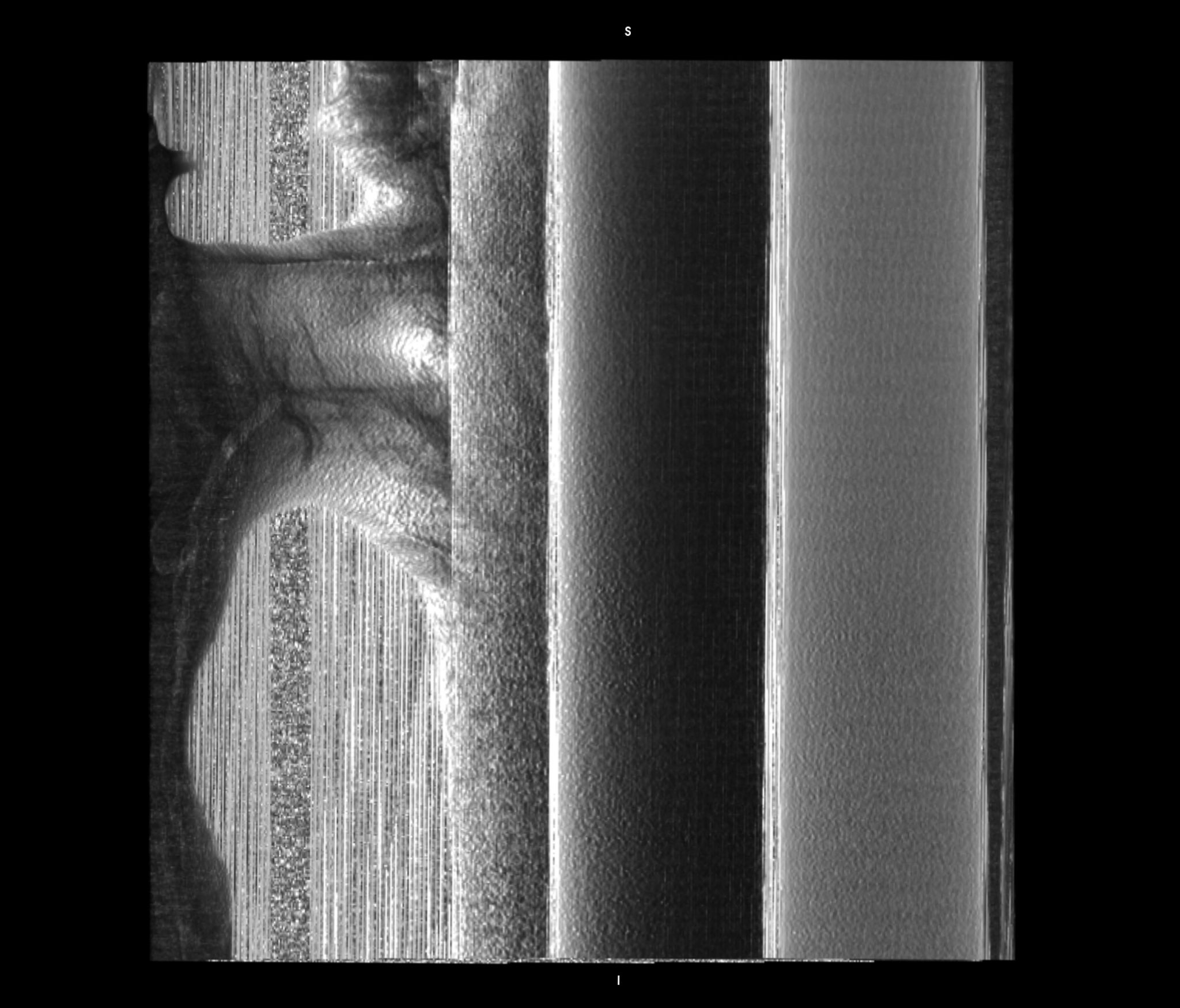
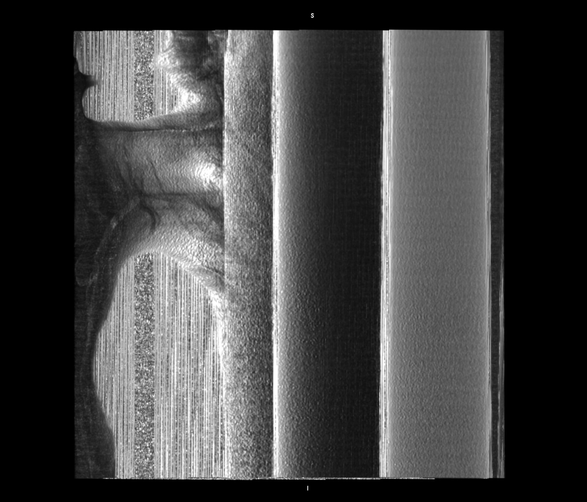
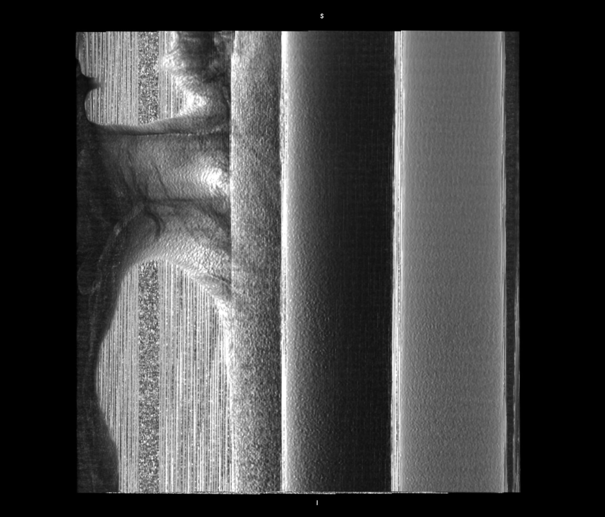
The history of medicine can be understood as an on-going endeavour to comprehensively visibilise the body, to pull it from obscurity, to open it out to vision. ‘The x-ray image, with its simultaneous view of the inside and outside, turned the vantage point of the spectator-subject inside out.’ * With the invention of the x-ray, the surface of the body, and its distinction from the world, was dissolved and lost in the image. 

In this project, I look at the visual limit between the inside and the outside, the inner and the outer. I combine different visual approaches to materialise the body, using medical imagery, photography from manuals and radiology software. Decontextualised from their origin, these images speak of medicine’s relationship to both sex and violence, and remind us that, in medicine, to go into the body is always to go into the image first.

* Mizura Akira Lippet